Síntomas y señales del cáncer de esófago
El cáncer de esófago es una enfermedad peligrosa y potencialmente mortal que puede afectar tanto a hombres como a mujeres.
Tipos de cáncer más frecuentes
Día internacional del sarcoma
Cáncer de colon, células que lo causan
La ciencia avisa: el momento exacto en que debes tirar tu botella de agua si no quieres tener problemas
Alerta entre los geólogos: avisan del volcán que amenaza con destruir la base española en la Antártida y sumirla al caos


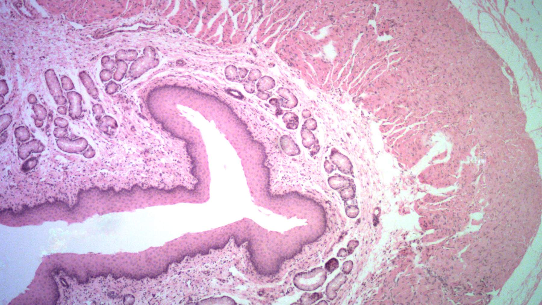
El esófago es uno de los órganos internos más importantes del cuerpo humano. Se trata de un tubo muscular que conecta la boca con el estómago y que transporta alimentos y líquidos para su digestión, es parte del sistema digestivo y se encuentra entre la faringe y el estómago. El esófago se compone de varias capas musculares que se contraen para permitir el paso de los alimentos a través de él. Estas contracciones son conocidas como peristalsis y son las responsables de empujar los alimentos hacia el estómago.
Es importante mantener el esófago saludable. La alimentación equilibrada y la ingesta de líquidos son fundamentales para mantener una buena salud. Si hay alguna anomalía en el funcionamiento del esófago, puede ser necesario realizar una endoscopia para diagnosticar la causa.
El cáncer de esófago
El cáncer de esófago es una enfermedad potencialmente mortal que afecta a personas de todas las edades. Esta enfermedad se caracteriza por el crecimiento de células cancerosas en el esófago, el tubo que conecta la boca con el estómago. Las células cancerosas pueden crecer y extenderse a otros tejidos y órganos, lo que puede provocar complicaciones potencialmente mortales. Aunque el cáncer de esófago es una enfermedad grave, hay tratamientos disponibles para ayudar a controlar los síntomas y mejorar la calidad de vida de los pacientes.
Síntomas y señales a detectar
Los síntomas tempranos del cáncer de esófago pueden ser difíciles de identificar. Algunos de los posibles síntomas incluyen disfagia, que es dificultad para tragar, dolor torácico, sensación de llenura rápida, pérdida de peso inexplicada, regurgitación de alimentos y dolor de estómago. Estos síntomas pueden ser fácilmente confundidos con otros problemas de salud, por lo que es importante que los pacientes sean evaluados por un médico para excluir otros problemas de salud. Además de los síntomas, hay algunas señales externas que pueden indicar un posible cáncer de esófago. Estas incluyen la presencia de un bulto o masa en el esófago, la presencia de sangre en la regurgitación o en las heces, y el aumento de la presión sanguínea. Si un paciente presenta alguna de estas señales, es importante que acuda a su médico para una evaluación adecuada.
Otra señal de alerta es el aumento de peso inexplicado. Esto puede ser causado por el cáncer de esófago, ya que el cáncer puede bloquear el paso de los alimentos. Si se está experimentando alguno de los síntomas mencionados anteriormente, es importante la consulta a un médico de inmediato.
Importante la detección temprana
La detección temprana del cáncer de esófago es una de las mejores formas de aumentar las posibilidades de éxito del tratamiento. Cuando se detectan los primeros síntomas y señales, el tratamiento puede ser más efectivo y los resultados mejores. Si bien el cáncer de esófago es una enfermedad grave, hay tratamientos disponibles para ayudar a mejorar la calidad de vida de los pacientes. Por lo tanto, es importante que los pacientes busquen atención médica temprana si presentan alguno de estos síntomas o señales.
Temas:
- Cáncer