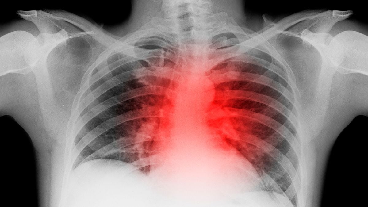
Las secuelas que deja la Covid-19 en el corazón: Inflamación y marcas como las de un infarto
Dos estudios realizados en Alemania han dado evidencia de las secuelas que deja la Covid-19 en el corazón, en pacientes que incluso pasaron la enfermedad en casa.
Enfado monumental en bares y restaurantes por la frase que está de moda entre los clientes: todos la usamos
El truco que no te vas a creer para quitar el dolor de cabeza: lo confirma una psicóloga

La salud del corazón puede verse afectada, y con efectos duraderos, a consecuencia de la Covid-19, aunque esta puede pasar desapercibida a priori, una vez que el paciente se ha recuperado.
Las secuelas que deja la Covid-19 en el corazón
Esto es lo que se ha descubierto, a raíz de dos estudios realizados en Alemania, publicados el martes en la revista JAMA Cardiology , en los que muestran cómo el virus puede permanecer en el corazón durante meses, incluso sin producir síntomas.
El primer estudio incluyó a 100 pacientes con coronavirus del Hospital Universitario de Frankfurt. La mayoría eran adultos sanos de entre 40 y 50 años.
A todos ellos se le hicieron resonancias magnéticas de su corazón dos o tres meses después de que se les diagnosticara el virus, cuando muchos parecían haberse recuperado por completo. Las imágenes se compararon con personas que nunca habían tenido COVID-19 y algunas de ellas mostraban secuelas realmente increíbles.
De hecho, de esos 100 pacientes con Covid-19, 78 todavía tenían signos visuales de que el virus tenía un impacto en el corazón. En concreto, sesenta tenían signos de inflamación continua del músculo cardíaco.
«Eso es realmente convincente», ha declarado a NBC News la Dra. Clyde Yancy, jefa de cardiología en el departamento de medicina de Northwestern Medicine en Chicago. «Indica que meses después de la exposición al COVID-19, aún podemos detectar evidencia de un corazón que no es completamente normal».
El problema puede sin embargo no provocar síntomas físicos, aunque evidentemente podría indicar un riesgo de daño cardíaco adicional.
«Una vez que se ha lesionado el músculo cardíaco, existe la posibilidad de una lesión progresiva», escribió Yancy en un editorial que acompaña a los estudios.
El estudio arroja luz a cómo se puede ver de afectado el corazón tras padecer la Covid-19, pero debido a que el virus es nuevo, todavía se desconoce cuáles son los auténticos riesgos cardiovasculares que se pueden sufrir a largo plazo.
Según los autores del estudio, ninguna condición preexistente habría explicado el daño, y solo un tercio de los participantes había sido hospitalizado con Covid-19. El resto había podido permanecer en casa durante el curso de su enfermedad, de modo que a pesar de sentirse relativamente bien o no tener apenas síntomas, es evidente que le han quedado secuelas en el corazón.
«Nuestros hallazgos pueden proporcionar una indicación de una carga potencialmente considerable de enfermedad inflamatoria en grandes y crecientes partes de la población», escribieron los autores del estudio.
El segundo estudio
El segundo estudio incluyó 39 autopsias de personas que habían muerto por la Covid-19. Esos pacientes tendían a ser mayores, en sus 80 años. Los investigadores encontraron evidencia del virus en el tejido cardíaco en 24 de los 39 pacientes.
Además, cinco de esos pacientes tenían signos de que el virus se estaba replicando en el tejido cardíaco.
Temas:
- Coronavirus